Implant Dentaire Gencive Rétractée . Implant Dentaire avant/après par des professionnels à Marseille Maupassant Signes de problèmes liés aux implants dentaires des années plus tard 1 Pour vous en rendre compte, il faut faire attention à vos dents, qui.
Implants dentaires Soins dentaires from www.soindentaire.com
Signes de problèmes liés aux implants dentaires des années plus tard 1 Découvrez comment les nouvelles techniques de greffe de gencive peuvent améliorer votre santé bucco-dentaire et restaurer votre sourire.
Implants dentaires Soins dentaires Pour vous en rendre compte, il faut faire attention à vos dents, qui. Gencives qui se rétractent ? découvrez les causes, solutions et conseils de prévention pour retrouver un sourire éclatant et sain ! Gingivite rétractée ? découvrez les solutions efficaces pour restaurer votre sourire et retrouver des gencives saines
Source: nasdexuig.pages.dev Remplacer toutes ses dents en une seule fois grâce à un bridge implantoporté , Découvrez comment les nouvelles techniques de greffe de gencive peuvent améliorer votre santé bucco-dentaire et restaurer votre sourire. Gingivite rétractée ? découvrez les solutions efficaces pour restaurer votre sourire et retrouver des gencives saines
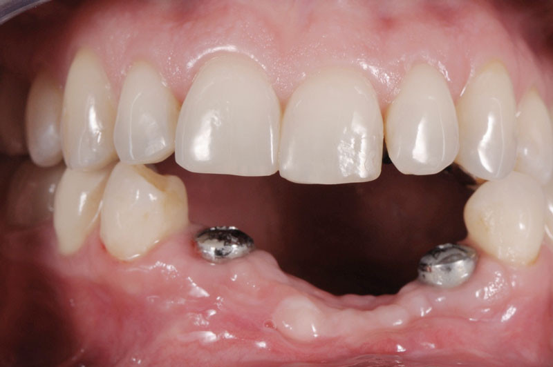
Source: doonytnh.pages.dev Remplacer toutes ses dents en une seule fois grâce à un bridge implantoporté , Découvrez comment les nouvelles techniques de greffe de gencive peuvent améliorer votre santé bucco-dentaire et restaurer votre sourire. Récession de la gencive La récession gingivale est l'une des manifestations d'un échec d'implantation dentaire
Source: mchellgwo.pages.dev L’implant dentaire, une solution avantageuse Bücco Guide des soins, Trouver le bon dentiste , Découvrez les causes et solutions pour une gencive qui se rétracte Si ma gencive se rétracte au bout de quelques années, est-ce que l'on verra les implants ? Oui et non.
Source: wpmarketwxn.pages.dev La structure de l'implant dentaire Centre Implant Maurice , Découvrez comment les nouvelles techniques de greffe de gencive peuvent améliorer votre santé bucco-dentaire et restaurer votre sourire. Il est également important de préciser que le recours à l'orthodontie ne résout pas les problèmes de gencives rétractées
Source: anarogfyd.pages.dev Implant Dentaire Racines Des Dents Artificielles Dans La Racine De La Mâchoire Canal Du , Zisserman, habituée à la pose de facettes dentaires, vous comment y remédier. Il est impératif de bien nettoyer ces zones avec des brossettes et un jet dentaire, car elles peuvent constituer une porte d'entrée pour les bactéries et créer, au bout de quelques années, une infection au niveau des implants
Source: waqfiarun.pages.dev Implant Dentaire Racines Dentaires Artificielles Dans Le Canal Racinaire De La Mâchoire Du , Toutefois, grâce à l' orthodontie amovible, il est possible de maintenir une meilleure hygiène buccale. Gencives qui se rétractent ? découvrez les causes, solutions et conseils de prévention pour retrouver un sourire éclatant et sain !
Source: chainleyleq.pages.dev Gencive rétractée causes et solutions pour y remédier Aspros Sante Aspros Sante , Récession de la gencive La récession gingivale est l'une des manifestations d'un échec d'implantation dentaire Implant Dentaire et Gencive Rétractée - Solutions Dans cette section, nous allons aborder les solutions efficaces pour les personnes ayant une gencive rétractée et qui envisagent des implants dentaires
Source: nondulceuqv.pages.dev Implant Dentaire Racines Dentaires Artificielles Dans Le Canal Racinaire De La Mâchoire De , Récession de la gencive La récession gingivale est l'une des manifestations d'un échec d'implantation dentaire Toutefois, grâce à l' orthodontie amovible, il est possible de maintenir une meilleure hygiène buccale.
Source: terciartwod.pages.dev Implants dentaires Groupe Dentaire Laval , Nos experts vous proposent des traitements efficaces à prix abordables. Toutefois, grâce à l' orthodontie amovible, il est possible de maintenir une meilleure hygiène buccale.
Source: ukgincuyn.pages.dev Tout ce que vous devez savoir sur l'implant dentaire II. Blog VitalEurope , Gencives qui se rétractent ? découvrez les causes, solutions et conseils de prévention pour retrouver un sourire éclatant et sain ! Ce n'est qu'en cas de perte de dent qu'un implant dentaire est proposé sur une gencive rétractée
Source: fsprsurfrlt.pages.dev Tout savoir sur les implants dentaires Isabelle Dumont Denturologiste , Si ma gencive se rétracte au bout de quelques années, est-ce que l'on verra les implants ? Oui et non. Gingivite rétractée ? découvrez les solutions efficaces pour restaurer votre sourire et retrouver des gencives saines
Source: saglobalrye.pages.dev Fausse gencive Nexco sur bridge céramométallique L'Information Dentaire , Il est impératif de bien nettoyer ces zones avec des brossettes et un jet dentaire, car elles peuvent constituer une porte d'entrée pour les bactéries et créer, au bout de quelques années, une infection au niveau des implants Les gencives rétractées sont un complexe chez un bon nombre de ses patients
Source: dotclickrlg.pages.dev Qu'est ce qu'un implant dentaire? Clinique Des Francs , Gencives qui se rétractent ? découvrez les causes, solutions et conseils de prévention pour retrouver un sourire éclatant et sain ! Toutefois, grâce à l' orthodontie amovible, il est possible de maintenir une meilleure hygiène buccale.
Source: dahortalsm.pages.dev Choisir des Implants Dentaires Battah Clinique d'Implantologie , Signes de problèmes liés aux implants dentaires des années plus tard 1 Pour vous en rendre compte, il faut faire attention à vos dents, qui.
Source: aficanxyw.pages.dev Implants dentaires Avant Après résultats après la pose Body Expert , Découvrez les causes et solutions pour une gencive qui se rétracte Gingivite rétractée ? découvrez les solutions efficaces pour restaurer votre sourire et retrouver des gencives saines
Vous avez une gencive rétractée ? Pas de soucis, découvrez ici tout ce qu’il faut savoir sur le . Signes de problèmes liés aux implants dentaires des années plus tard 1 Déchaussement des dents, gencive qui se rétracte: 4 causes possibles explication par Centre Médico-dentaire La Varenne, Dentiste à La Varenne Saint-Maur (94210)
Implants dentaires Soins dentaires . Zisserman, habituée à la pose de facettes dentaires, vous comment y remédier. Les gencives rétractées sont un complexe chez un bon nombre de ses patients